全部
2021.07.15
男子長期暈眩走路搖晃不知原因 「慢性硬膜下血腫」作祟
文章撰寫:為恭醫院神經外科陳敏雄副院長;圖片來源:pixaby
苗栗縣頭份市1名66歲的陳姓男子,因長期暈眩長達3年查無原因,平日生活中走路搖晃不穩。其妻表示最近半年內頭暈越來越明顯,伴隨雙耳耳鳴,右手間斷性的抖動而且右腳明顯無力,時常跌倒。日前由家屬陪同求醫,經電腦斷層檢查發現腦部雙側硬膜下血腫,經手術後症狀已大幅改善。
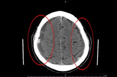
陳男經電腦斷層檢查後,發現腦部雙側硬膜下血腫(紅圈
陳男經頭部電腦斷層檢查發現腦部雙側硬膜下血腫、壓迫腦實質安排住進加護病房接受治療,給予安排術前其他各項檢查及經麻醉科評估後,由陳副院長執行雙側顱骨穿孔引流手術移除血腫,3日後移除頭部雙側引流管,隔日轉至外科病房治療。陳男家屬表示,術後頭暈及耳鳴已有明顯改善,右手可以扣釦子及自行使用餐具進食生活上可自理,少見抖動情形,下床行走時也不再搖搖晃晃。7日後安排患者追蹤頭部電腦斷層檢查發現雙側硬膜下血腫大幅減少後辦理出院回家調養。
慢性硬膜下血腫好發於年長者,或是凝血功能異常的患者,半數以上曾有過頭部外傷的病史,當頭部外傷病人出院的時候,家屬常常會問有沒有嚴重的長期後遺症是比較危險的,慢性硬腦膜下腔出血是其中較危險的一個。如國內許多知名政治人物,因頭部外傷一段時間後,引起嚴重頭痛而經電腦斷層診斷為慢性硬腦膜下出血,經手術治療後恢復情況相當良好。許多患者也因此類的顱內出血而接受了開刀治療,癒後狀況皆不錯。提醒民眾,若突然周遭親朋好友有出現步態障礙、跌倒頻率增加、反應遲緩、偏癱和語言障礙等症狀,務必協助盡早就醫,才能把握黃金治療時間。
文章來源:財團法人為恭紀念醫院